The Diagnosis
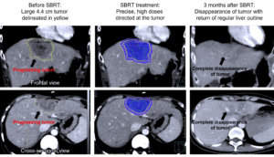
Aniela was 41 years old when she was diagnosed with Stage 4 breast cancer which had spread to the liver and bone in June 2021. Over the next one and a half years, she went through multiple lines of chemotherapy in her battle against the disease. On Aniela’s re-assessment scan in December 2022, it was found that the latest targeted treatment had worked well in most parts of her body. Unfortunately, there was a solitary liver nodule that had been stubbornly growing over the last 9 months. In recent months, this tumor had more than tripled in size, jumping from 1.4 cm to 4.4 cm.
At this point, Aniela was advised by her medical oncologist to change the oral targeted drug she was taking to a new regimen. However, Aniela and her husband were reluctant to take up this option alone, as they were concerned about the rapid pace of growth of the liver tumour and wanted to have more aggressive local treatment to this solitary area of progression.
Aniela and her husband went on further literature research to find ways to improve the outcome. This was when Aniela’s husband learnt about Stereotactic Body Radiation Therapy (SBRT), a non-invasive, precise, local therapy directed against resistant or progressive areas of disease, and decided to bring it up to their medical oncologist. This was when the medical oncologist referred them to Dr David Tan, Senior Consultant Radiation Oncologist at Asian Alliance Radiation & Oncology (AARO) for further discussion.
The Journey
During the consultation with Dr David Tan, Aniela and her husband discussed the history of her disease over the past 1.5 years and her current proposed treatment plan. As Aniela’s husband had already done a lot of research prior to the consultation, Dr Tan and the couple were able to delve quickly into the specifics of SBRT, including the scientific evidence, the advanced technologies employed, reported clinical outcomes, and its potential side effects. **

At the end of the discussion, Aniela and her husband were convinced that SBRT treatment to the rapidly growing liver lesion was the right way ahead for them. If SBRT was successful in controlling the liver lesion, Aniela would be able to continue taking the existing oral drug that had been effective for all other sites of disease. Throughout the decision-making process, Aniela and her husband were reassured by Dr David’s calm confidence, and took comfort in the fact that they had an experienced doctor at the helm.
The Treatment: Stereotactic Body Radiation Therapy (SBRT)
In mid-December 2022, after 1.5 weeks of painstaking SBRT treatment plan preparation by Dr David and his team of physicists, Aniela began her treatment. During the pre-treatment verification scans routinely performed before each session of SBRT, it was found that even during the 1.5 weeks between the SBRT planning scan and day 1 of treatment, the tumor had increased in size by almost 10%. Fortunately, due to the team’s detailed planning and comprehensive knowledge of SBRT concepts, the safety margins that were applied to the initial tumor were sufficient to cover the additional areas of growth, and treatment was able to proceed as planned without further delay.
The effectiveness of SBRT treatment hinges upon the expertise of the doctor and his planning team, as they decide on the specific areas to treat (or not to treat) and the arrangements of the radiation beams so as to ensure precise destruction of the tumor, while preserving the surrounding organs and minimising side effects of treatment. Thus, Aniela and her husband were appreciative of Dr David’s technical skill and years of experience, which made them confident in his approach to treatment.
During the treatment process, Aniela did not experience many side effects except for nausea and fatigue that eventually recovered completely within 1-2 months. Two weeks after her SBRT treatment, Aniela also experienced some tenderness over the upper abdomen, which was treated with mild painkillers. In contrast with her experience with chemotherapy, SBRT treatment did not have any palpable physical effects on Aniela, for which she was grateful.
The Remission
3 months after SBRT, on 29th March 2023, Aniela had a follow up scan to assess her response to treatment. A CT scan of the chest and abdomen revealed that the 4.4cm liver nodule had completely disappeared, with only an area of scarring and mild swelling seen at the previous disease site. This reflected a complete response to the SBRT treatment! Elsewhere in the body, there was no evidence of active cancer, and the previously treated areas in the bone and other parts of the liver with chemotherapy remained in remission.
When Aniela and her husband received the news, they were overwhelmed with joy and disbelief. Later on, when their medical oncologist reviewed the scan results, Aniela was told that because the aggressive chemoresistant liver tumor had been completely eradicated by SBRT, she would be able to continue on her existing oral targeted drug and not have to switch to any new chemotherapy. In essence, she would be able to continue life as usual without facing the unknowns of a new treatment regimen.
While they know that this is not the end of her cancer journey, Aniela and her husband are cautiously optimistic. Said Aniela’s husband “We have read many books on this topic, as well as encouraging testimonies from breast cancer survivors. We know there is always hope, and we must keep on fighting. We want to be the lottery winner.”
The Outlook: A New Lease of Life
For Aniela and her husband, choosing to have SBRT to the aggressive, resistant liver tumor was the outcome of diligent research and incessant seeking for the best available treatment option. Aniela and her husband are grateful for the AARO team’s professionalism and top notch care. Throughout the process, Aniela and her husband were worried about the outcome of the SBRT treatment and whether it would be able to completely eradicate the liver tumor, but at no point did they feel unsettled or fearful while undergoing the treatment, thanks to Dr David Tan’s confidence and experience, as well as the team’s reassuring care.
Dr David Tan said, “It was a privilege to be part of Aniela’s treatment journey. She had such a sweet and gentle demeanour but she displayed a steely resilience throughout her treatments over the past 1.5 years, despite the physical discomfort it caused her.
Her husband An was her pillar of strength, tirelessly reading and researching all possible options to provide her with the best outcomes, and always there by her side to tend to all her needs.
I wish them the very best in their journey ahead”.
This season, we are privileged to celebrate our Ambassador of Hope: Aniela.
**The SABR-COMET trial was one of the studies Dr Tan discussed with Aniela’s husband. In this international study, close to 100 patients from 10 centers around the world underwent either Stereotactic Body Radiation Therapy (also known as Stereotactic Ablative Radiotherapy i.e. SABR) to up to 5 metastatic tumors in the body, or the Control Arm of only systemic treatment such as targeted treatment or chemotherapy. Survival rates were found to be significantly better with the addition of SABR.




